First Family Dental | Dental Bridges, Digital Radiography and Implant Dentistry

Dentistry Before and After Photos

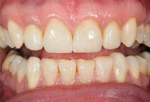
before

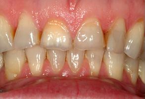
Before

First Family Dental | Veneers, Dental Bridges and Teeth Whitening

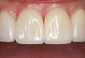
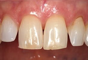
After

First Family Dental | Emergency Treatment, Digital Radiography and Implant Dentistry

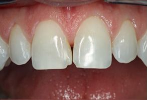
Before

First Family Dental | Digital Radiography, Emergency Treatment and Dentures

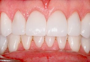
After

First Family Dental | Dental Bridges, Veneers and Digital Radiography

Before

First Family Dental | Veneers, Implant Dentistry and Cosmetic Dentistry

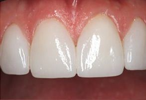
After

First Family Dental | Dentures, Emergency Treatment and Veneers

Before

First Family Dental | Extractions, Dental Bridges and Preventative Program

After

First Family Dental | Teeth Whitening, Oral Exams and Dental Fillings

Before

First Family Dental | Digital Radiography, Emergency Treatment and Dental Fillings

After

First Family Dental | Dental Bridges, Preventative Program and Veneers

Before

First Family Dental | Emergency Treatment, Oral Exams and Preventative Program

After

First Family Dental | Veneers, Dental Fillings and Pediatric Dentistry

Before

First Family Dental | Veneers, Cosmetic Dentistry and Digital Radiography

After

Contact Us

Schedule your appointment online or give us a call to get started today.

First Family Dental 6115 N First Street #102, Fresno, CA 93710
(559) 229-8200